تعاون مشترك بين كلية الطب البيطري ومركز البحوث الزراعية

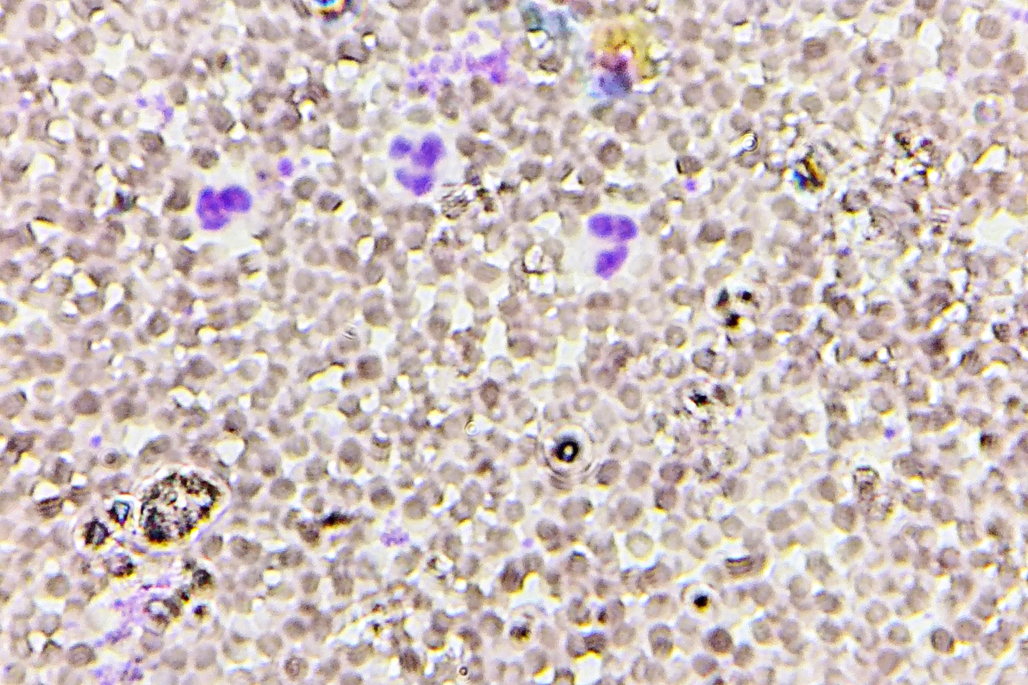
 في إطار التعاون المشترك بين جامعة تكريت ووزارات الدولة وهيئاتها، استقبلت وحدة العيادة الخارجية التابعة لكلية الطب البيطري حالة ذكر ماعز تم ارسالها من قبل مركز البحوث الزراعية التابع لوزارة الزراعة يعاني من خمول شديد وتدهور في حالته الصحية مع انقطاع في الشهية. قام الفريق الطبي متمثلا بالدكتور ماهر صابر والدكتورة منار عيسى باستلام الحالة، وتم سحب عينات الدم وارسالها إلى مختبر التشخيصات المرضية للتشخيص الدقيق وتحديد سبب المرض. ومن ثم القيام بتشريح للحيوان لتحليل الحالة وتحديد الأسباب الأساسية بهدف تقديم التوصيات العلاجية اللازمة لمركز البحوث الزراعية وتوجيه حملة تطعيم وعلاج لباقي أفراد القطيع. من الجدير بالذكر ان كلية الطب البيطري على تواصل مستمر مع دوائر الدولة ذات العلاقة من اجل تقديم كافة الخدمات العلمية والبيطرية.

Related Articles